セラミック修復
- HOME
- セラミック修復
セラミック修復とは
セラミック修復とは自然な歯の色に近い材料であるセラミック素材を使用した審美的な治療方法です。見た目だけでなくアレルギーリスクもないため、身体に優しい治療方法ともいえます。(症例によっては写真のように下地に金属を使用することもありますが、その場合でもアレルギーリスクの少ない金属が選択できます)
当院では型を採って冠をかぶせる一般的な補綴処置(間接セラミック修復)と合わせて、1回の処置で直接口腔内でセラミックを盛っていく直接セラミック修復にも対応しています。
セラミック修復の特徴
- 審美的である
- 金属アレルギーリスクがないため身体に優しい
- 間接修復法(複数回)と直接修復法(1回)とに分かれる
間接修復法



直接修復法



当院でのセラミック修復の種類
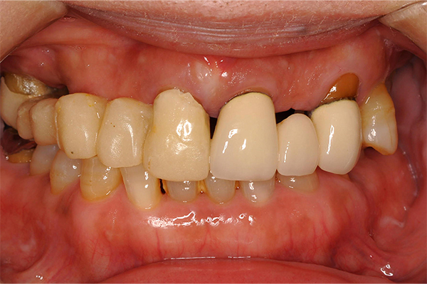
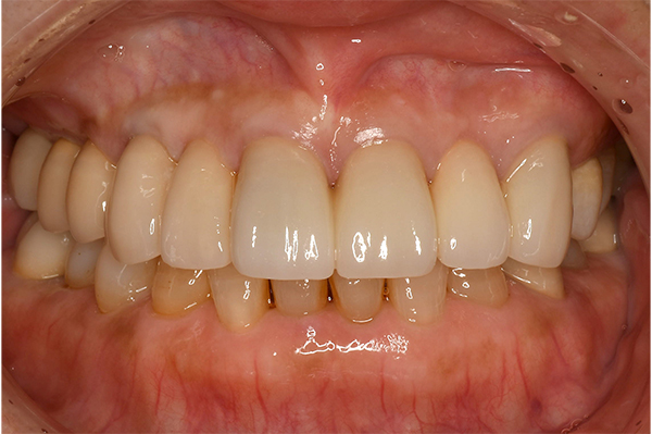
間接セラミック修復

処置前

処置後
直接セラミック修復
充填修復

処置前

処置後
ダイレクトクラウン修復

処置前

処置後
ダイレクトブリッジ修復

処置前

処置後
歯冠形態の修正
前歯

処置前

処置後
臼歯

処置前

処置後
歯間離開への対応

処置前

処置後
破折歯への対応

処置前

処置後



